Евгений Найштетик: какие-то умники из ВОЗ решили отнести любовь к импульсивным расстройствам психики на равне с игроманией, пироманией и клептоманией

Евгений Найштетик

С подачи Лики Спиваковской решил начать рабочую неделю с чего-то жизнеутверждающего.
Лет 10 назад весь мир облетела новость о том, что какие-то умники из ВОЗ решили отнести любовь к импульсивным расстройствам психики на равне с игроманией, пироманией и клептоманией.
Даже отнесли любовь к коду F63.9 по МКБ-10. Наиболее агрессивные исследователи, решившие стать на путь обесценивания любви даже сравнили влюбленность с обсессивно-компульсивным расстройством.
Для тех, кто считает людей обезьянами под нейромедиаторами такое положение вещей стало очень удобным, потому что объясняло их примитивное представление о социальной материи в целом и человеческой психике в частности.
В действительности зависимость некоторых поведенческих паттернов от нейромедиаторов и гормонов могут лишь частично и чрезвычайно поверхностно объяснить такой объемный и сложный феномен как любовь.
Начнем с того, что любовь ≠ сексуальное влечение.
Если проанализировать семантику слова, то мы придем к выводу, что любовь – это социальная связь, которая имеет массу характеристик.
Это и привязанность, и эмпатия, и альтруистические стремления, и доверие, и ответственность, и много чего другого. Если подходить к вопросу с точки зрения нейронауки по-взрослому, а не зазубривая названия 4 нейромедиаторов, то мы сперва должны попробовать распознать эту самую любовь экспериментально.
Информация в мозге имеет 3 основных протокола передачи данных: электрический (самый быстрый), химический и биологический (самый долгий).Электрический протокол – это возбуждаемые потенциалы действия между нейронами. Распознавая геодезический путь последовательного зажигания нейронов можно определить семантику образов.
Химический протокол – это тот коктейль нейромедиаторов, который выделяется после электрических паттернов.
И, наконец, биологический протокол – это энграммы, вид долгосрочной памяти, которая буквально впечатывается на клеточном уровне.
Так вот, если регистрируя ЭЭГ у вас спросить о любви, то вы будете рассказывать какие-то абстрактные вещи и, скорее всего, ничего кроме речевых центров загораться не будет. Если у вас спросить о вашей любви, то начнет активизироваться ассоциативная кора. Но так мы ничего особо не увидим.
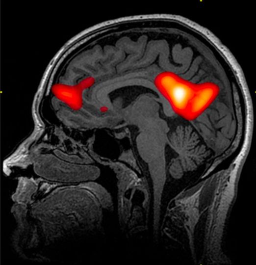
Нужны более сложные методы, такие как функциональное МРТ, которое позволяет посмотреть связь с подкорковыми структурами. И вот здесь мы увидим, что мозг опрашивает соматическую нервную систему.Он буквально горит вашими ощущениями первого свидания, знакомых запахов, он горит приплывом энергии от сказанного «да!», он вспоминает как выглядела эта любовь, какой она была на слух, как приятно ее было трогать, как здорово было прижимать крепко, какие ощущения были вместе в обществе, он вспоминает, как вы сообща преодолевали испытания, он начинает подтягивать в памяти основные моменты вашей общей жизни и пр.
Чем более сложные отношения между людьми, тем более яркими паттернами загорается мозг, при воспоминании.Нейропсихологи так же отмечают, что развитие любви связано и с когнитивной функцией, с нашей любознательностью.
Мы подсознательно хотим знать о любимых больше и хотим вместе познавать окружающий мир.
Это не имеет никакого отношения к синтезу нейромедиаторов как таковых. Если вы хорошенько разберетесь, что ж такое любовь, то вы поймете, что любовь – это ваша память и это часть вашей жизни.
А еще это часть того, кем вы являетесь. Чтоб условно два сердца бились в унисон, нужны старания, и эти усилия вас меняют.
Вот, что такое любовь, а не вот эти ваши коктейли из дофамина, серотонина, окситоцина и эндорфина.
Любовь – это то, что заставит вас стать лучшей версией себя и сформировать устойчивые социальные связи.
Это то, что расширит ваш горизонт планирования и станет стимулом улучшать окружающую действительность.
Это то, что побудит вас объединиться на генетическом уровне, чтоб дать потомство, которое объединит лучшие качества вашей семьи.
Любовь – это очень сложно и просто одновременно. Настоящую любовь легко распознать. С ней вы всегда становитесь лучше.
А вот так выглядит влюбленный мозг.

Сорока Аліна
Закінчила факультет журналістики Львівського державного університету імені Івана Франка. Почала працювати в газетах на Прикарпатті, потім - у Львові. Згодом доєдналась до команди Svoboda.ua.